Content

Welcome to the CJU website » LOG IN

Free Articles

HOWIDOIT

Initial North American experience with the use of the Olympus Button Electrode for vaporization of bladder tumors

Daniel J. Canter, MD, Kenneth Ogan, MD, Viraj A. Master, MD

Department of Urology, Emory University School of Medicine, Atlanta, Georgia, USA

CANTER DJ, OGAN K, MASTER VA. Initial North American experience with the use of the Olympus Button Electrode for vaporization of bladder tumors. The Canadian Journal of Urology. 2012;19(2):
6211-6216.

The current treatment standard of care for patients who present de novo or with a recurrent bladder tumor is transurethral resection of the bladder tumor (TURBT) using monopolar or bipolar electrocautery in the form of a 90-degree loop electrode, which has been used since its introduction in 1952. This intervention, accomplished transurethrally, is both diagnostic and potentially therapeutic for patients with bladder cancer, especially for low grade, non muscle-invasive bladder tumors. Although usually safe and sufficient, this technique can create technical challenges, especially in the dynamically changing spherical space of the bladder. Bipolar energy has been available for many years and has been readily adopted for the endoscopic treatment of benign prostatic enlargement. A further refinement on bipolar energy has been the recent introduction of the Olympus Button Electrode (Olympus, Southborough, MA, USA). Coupling bipolar energy into the Olympus Button Electrode not only harnesses the benefits of less thermal spread but also obviates many of the geometric challenges associated with loop electrodes during resection of either large or inauspiciously placed bladder tumors.

In this article, we detail our initial experience vaporizing bladder tumors with the Olympus Button Electrode. Although still very early in our experience, we have been able to completely vaporize very large tumors as well as tumors located in difficult parts of the bladder to access with minimal blood loss and no bladder perforations. Furthermore, our ability to obtain adequate grade and stage information has not been compromised by using this vaporization technique.

Key Words: bladder cancer, transurethral resection of the bladder tumor, Olympus Button Electrode, bipolar electrocautery

IntroductionTop

The burden of bladder cancer in the United States is enormous, accounting for approximately 70,000 new cases and 15,000 deaths in the United States in 2011.1 These statistics do not account for the huge number of patients with superficial or non muscle-invasive bladder cancer (NMIBC) who require continual cystoscopic surveillance and tumor resection when recurrences occur. By some estimates, there are approximately 500,000 people living with bladder cancer in the United States.2 The standard of care for patients with either newly diagnosed bladder cancer or recurrent NMIBC involves transurethral resection of the bladder tumor (TURBT), which can be both diagnostic and therapeutic.3,4

While TURBT is an integral part of bladder cancer staging, it can carry significant morbidity and even mortality. Although lacking randomized controlled trials, the incidence of bladder perforation after TURBT has been reported to be as high as 58.3%.5 Furthermore, one large institutional series of over 4000 patients revealed a 0.36% rate of open surgical exploration after TURBT for bladder perforation with two patients in this study dying as a complication of the bladder perforation created during tumor resection.6

Recent advances in transurethral instrumentation for the treatment of benign prostatic hyperplasia have made surgical treatment of prostatic enlargement safer. Namely, the application of bipolar energy with the recent introduction of a “button” shaped electrode has resulted in durable treatment results with an improved incidence of both short and long term bleeding. In light of the success of using the bipolar button for patients with bladder outlet obstruction, transitioning this technique to resecting or vaporizing bladder tumors makes intuitive sense. To date, one small study has shown improved safety end points, although it is still early in the technology’s application.7 Furthermore, although preliminary in this previous report, pathologic grade and staging information were not compromised despite the vaporization process.

Despite this initial promising data from a single study, this technique requires prospective, randomized validation to establish at least equivalent safety and oncologic efficacy. As such, we have begun to resect all patients with de novo or recurrent bladder tumors using the Olympus Button Electrode (Olympus, Southborough, MA, USA). To date, our experience is early, yet we have observed improved safety of the instrumentation due to less blood loss and the ability to negotiate difficulty placed tumors afforded by the design of the electrode. Finally, we have not had any difficulty obtaining the necessary pathologic data in order to establish appropriate tumor grade and/or stage.

MethodsTop

Transurethral resection of the bladder tumor (TURBT) is an integral part of the clinical staging of urothelial carcinoma of the bladder. Often, the presence of a bladder tumor will be detected during local cystoscopy in the office for evaluation of microscopic or gross hematuria, irritative voiding symptoms, and/or abnormal urinary cytology. Also, many tumors will be detected during routine surveillance cystoscopy in patients with a history of bladder cancer. Prior to proceeding with TURBT, appropriate upper tract imaging (CT urogram, MR urogram, IVP, or renal ultrasound) should be obtained to ensure that a concomitant urothelial tumor is not present in either renal collecting system or ureter. If present, these tumors can be evaluated and treated appropriately at the time of TURBT.

To date, we have used the Olympus Button Electrode in 15 patients with varying sizes of bladder tumors. Our initial results have been very promising; specifically, we have observed an improved visibility due to the greater degree of hemostasis afforded by Olympus Button Electrode vaporization. Since blood loss has been minimal with the vaporization technique, we have been able to completely resect/vaporize tumors that previously may have been deemed endoscopically unresectable, potentially avoiding the morbidity and mortality associated with radical cystectomy and urinary diversion. Additionally, improved visualization due to tumor vaporization/ablation as opposed to tumor resection has mitigated risks such as bladder perforation. Also, because of the cylindrical shape of the Olympus Button Electrode, the operating surgeon has an easier time vaporizing tumors that traditionally are harder to resect with the loop electrocautery, such as dome and anterior wall tumors. Finally, one can vaporize in all directions moving the working element in and out, which increases the efficiency of vaporization as well as negotiating tumors that may be harder to resect with the loop electrocautery due to the geometry of the bladder.

A TURBT using the Olympus Button Electrode vaporization technique, to be described in detail below, is essentially the same endoscopic procedure as the traditional TURBT using the loop monopolar or bipolar electrocautery. The benefits of using the Olympus Button Electrode for bladder tumors include less blood loss which should result in less TUR-related complications due to improved visualization throughout the procedure. In our initial experience, we have been able to obtain the necessary tumor grade and stage information so that patients with bladder cancer can be appropriately staged despite sending less tissue for pathologic review.

Pre-procedure instructionsTop

Anticoagulants and antiplatelet agents should be stopped at the appropriate time before the procedure, usually 5-7 days prior to TURBT. Patients on warfarin will have an INR measured prior to proceeding with the procedure. In patients with drug-eluding stents, the tumor resection is performed on low dose aspirin therapy. The patients are counseled regarding the risks of acute stent thrombosis when stopping anti-platelet agents versus the risks of bleeding when performing a transurethral resection while continuing aspirin. Furthermore, our initial experience with reduced blood loss during TURBT with the Olympus Button Electrode has been so promising that we have considered evaluating whether we could routinely continue anti-coagulants in all patients undergoing TURBT with the Olympus Button Electrode.

The patient is instructed to take all of his/her other regular medications as directed the morning of the procedure and presents to the same day surgery unit for outpatient surgery.

ProcedureTop

1) A negative urine culture is obtained preoperatively. Intravenous antibiotics are given as close to 1 hour prior to instrumentation as possible. Choice of antibiotic is at the discretion of the operating surgeon, however we prefer to use a broad spectrum cephalosporin with good coverage of common genitourinary pathogens.

2) After the induction of general or spinal anesthesia, the patient is positioned and prepared in the dorsal lithotomy position as one would for any transurethral resection. Generally, we do not have a strong preference for an endotracheal tube versus a laryngeal masked airway (LMA). The need for prolonged paralysis appears to be reduced, if not unneeded, due to the reduced transmission of electrical current with the button electrode toward the obturator nerve.

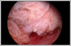
3) Complete cystourethroscopy is then performed in the standard fashion with the resectoscope and the visual obturator. Many patients have already had a cystoscopy in the office that showed a bladder tumor requiring resection. Nevertheless, a diligent cystourethroscopy is still required to ensure that concomitant tumors are not missed as well as to identify the ureteral orifices and assess the bladder outlet, Figure 1.

DrCanter_Fig1_CMYK.eps

Figure 1. Showing the extent of tumor.

4) Once a complete cystouretheroscopy is complete, the rigid biopsy forceps are then placed through the resectoscope and multiple biopsies of the exophytic portions of the tumor are taken, Figure 2. These biopsies will ensure that one has adequate tumor grade information.

DrCanter_Fig2_CMYK.eps

Figure 2. Initial biopsy.

5) Once the biopsies are complete, the working element of the resectoscope with the Olympus Button Electrode is then attached. The bladder tumor is then vaporized. The advantages of using the button for transurethral resection of bladder tumors are many: namely, we have observed improved visualization due to decreased blood loss as well as the ability to access tumors that are harder to resect with the traditional loop electrocautery. Also, we have observed that the tumor vaporization does not result in a char of tissue of the superficial portions of the tumor slowing down the vaporization of the deeper portions.

6) Tumor vaporization then proceeds, Figure 3. It is very important to remember that the Olympus Button Electrode can just as easily vaporize normal bladder mucosa as the tumor. The surgeon has to be diligent to avoid vaporizing a hole through adjacent normal urothelium. Also, the bipolar generator will only allow the surgeon to continuously apply current for 30 seconds. Thus, it is important to remember to intermittently stop applying current or the bipolar generator will automatically stop. Vaporization continues until the tumor base is reached.

DrCanter_Fig3_CMYK.eps

Figure 3. Continuation of vaporization.

DrCanter_Fig4_CMYK.eps

Figure 4. Near the end of vaporization.

At this point, the operating surgeon can either take deep biopsies (usually three to four) of the tumor bed using the rigid biopsy forceps or switch to the bipolar loop electrocautery to resect the tumor bed, ensuring inclusion of muscle in the specimen, Figure 5.
Our initial experience has shown that either method is adequate, however we have found that with certain tumor locations, specifically lateral wall, it has been difficult to obtain a good biopsy specimen for review with the biopsy forceps.. In this instance, we routinely use the loop electrocautery. Once all the specimens have been removed, hemostasis is achieved.

DrCanter_Fig5_CMYK.eps

Figure 5. Final biopsy of base of tumor.

7) For very large tumors (> 50% of bladder mucosa) or high grade T1 tumors, we will perform a repeat transurethral resection 2 to 4 weeks after the initial resection to ensure that the tumor has been adequately staged.

Post-procedure instructionsTop

1) Upon completion of the tumor vaporization, it has been at the discretion of the operating surgeon whether a Foley catheter is necessary. To date, we have routinely not been using a catheter unless the amount of tumor vaporized has been very large.

2) We have been discharging all our patients to home the same day regardless of tumor size. The need has not arisen yet to check blood work due to concern for postoperative bleeding or electrolyte abnormality.

3) The patient’s vital signs are monitored, and the patient is observed according to the recovery room protocol. Prior to being discharged to home, the patient must void, documenting an acceptable postvoid residual. No patients to date have required readmission for delayed bleeding or urinary retention.

DiscussionTop

In our initial experience, the use of the Olympus Button Electrode for vaporization of bladder tumors appears to be a potentially safer technique than the loop electrocautery. Furthermore, we have not had any difficulty in obtaining the necessary tumor grade and/or stage information necessary in determining appropriate treatment for patients with newly diagnosed or recurrent bladder cancer. We routinely have not needed to leave urethral catheters in place after tumor vaporization and have had no instances of postoperative bleeding or clinically significant bladder perforation. Also, we have been able to vaporize very large tumors (encompassing > 50% of the bladder mucosa) with minimal blood loss. These patients did not have muscle-invasive bladder cancer, thus the need for radical cystectomy was avoided, preserving these patients’ quality of life without compromising oncologic principles.

The recent application of the Olympus Button Electrode to bladder tumors stems from the success that has been experienced in treating men with bladder outlet obstruction and benign prostatic enlargement with the same technology. Although proven to have long term efficacy, traditional transurethral resection of the prostate (TURP) requires hospitalization and can be morbid for patients. In an initial series of thirty patients with a mean prostatic volume of 59 cc (range = 20 cc-140 cc), the investigators treated all patients with the Olympus Button Electrode for outlet reduction, and no patient required a blood transfusion or experienced a serum electrolyte abnormality due to intraoperative fluid absorption.8 Mean catheterization time was less than 2 days. At 6 months, clinical improvement was markedly noted as compared to baseline values.8 Since this original report, a more robust experience with this technique has been detailed with Foley catheter removal recommended at home the morning after the procedure.9

To date, only a single prior report from Romania has attempted to extend the bipolar button electrode technology to the treatment of bladder tumors. In this randomized study of 120 patients, the authors found that tumor resection with the button electrode was associated with statistically significant shorter operative time as well as improved safety parameters (obturator nerve reflex, bladder perforation, and blood loss).7 Interestingly, the authors of this study found a statistically significant reduction in bladder tumor recurrence in the group treated with the button electrode versus the loop electrocautery—5 patients versus 11 patients (p = 0.02).7 Although intriguing, this finding requires further prospective validation with a large number of patients.

While similar to the Romanian study and equally as promising, our experience is still early (n = 15) and not yet mature enough to ascertain whether our tumor recurrence rate or progression rate is improved using the Olympus Button Electrode for tumor vaporization. However, we have had an excellent safety profile without compromising our ability to make appropriate oncologic decisions in this challenging group of patients. Furthermore, due to the reduced blood loss during the procedure resulting in improved visibility, we have been able to achieve a complete tumor resection regardless of tumor size and/or depth of invasion. This complete tumor resection is a secondary benefit of the technology, especially in those patients with muscle-invasive disease or greater, in that maximal tumor debulking has been associated with a statistically significant response rate to combined modality chemotherapy and radiation therapy.10 By extrapolation, a complete tumor resection should theoretically result in a better pathologic response for patients undergoing neoadjuvant chemotherapy prior to radical cystectomy. Prospective, randomized trials are warranted to adequately compare the button electrode versus the standard loop electrocautery.

ConclusionsTop

The use of the Olympus Button Electrode for vaporization of the prostate for bladder outlet obstruction and benign prostatic enlargement is starting to become widely adopted due to its ease, efficacy, and safety. The extension of this technology for the transurethral treatment of bladder tumors, although a logical next step, requires thorough evaluation to ensure oncologic principles are not compromised. In contrast to prostatic diseases, the importance of adequate tissue for pathologic review is paramount in patients with bladder cancer. This report early in our experience appears promising and details our approach to maximizing the benefits of the Olympus Button Electrode while ensuring necessary oncologic data.

DisclosureTop

Authors report no conflict of interest associated with the publication of this paper.

Accepted for publication February 2012

Address correspondence to Dr. Daniel J. Canter, Department of Urology, Emory University School of Medicine, 1365 Clifton Road, NE, Building B, Suite 1400, Atlanta, GA 30322 USA


ReferencesTop

1. Siegel R, Ward E, Brawley O, Jemal A. Cancer statistics, 2011: the impact of eliminating socioeconomic and racial disparities on premature cancer deaths. CA Cancer J Clin 2011;61(4):212-236.

2. www.bcan.org

3. Hall MC, Chang SS, Dalbagni G et al. Guideline for the management of nonmuscle invasive bladder cancer (stages Ta, T1,
and Tis): 2007 update.
J Urol 2007;178(6):2314-2330.

4. Brausi M, Witjes JA, Lamm D et al. A review of current guidelines and best practice recommendations for the management of nonmuscle invasive bladder cancer by the International Bladder Cancer Group. J Urol 2011;186(6):2158-2167.

5. Balbay MD, Cimentepe E, Unsal A, Bayrak O, Koc A, Akbulut Z.
The actual incidence of bladder perforation following transurethral bladder surgery.
J Urol 2005;174(6):2260-2262, discussion 2-3.

6. Golan S, Baniel J, Lask D, Livne PM, Yossepowitch O. Transurethral resection of bladder tumour complicated by perforation requiring open surgical repair - clinical characteristics and oncological outcomes. BJU Int 2011;107(7):1065-1068.

7. Geavlete B, Multescu R, Georgescu D, Jecu M, Dragutescu M, Geavlete P. Innovative technique in nonmuscle invasive bladder cancer-bipolar plasma vaporization. Urology 2011;77(4):849-854.

8. Reich O, Schlenker B, Gratzke C et al. Plasma vaporisation of the prostate: initial clinical results. Eur Urol 2010;57(4):693-697.

9. McClelland M Jr. Olympus PlasmaButton transurethral
vaporization technique for benign prostatic hyperplasia. Can J Urol
2011;18(2):5630-5633.

10. Efstathiou JA, Spiegel DY, Shipley WU et al. Long-term outcomes of selective bladder preservation by combined-modality therapy for invasive bladder cancer: the MGH experience. Eur Urol 2012;
61(4):705-711. Epub 2011 Nov 12..